The AW name goes beyond applications. It’s a family of products and services designed to meet the growing complexities of
clinical facilities. Whether you’re in need of a single workstation or an enterprise-wide solution, we can help you choose the right
combination of products for your needs.
With over 60 applications across multiple modalities and care areas,
you’ll find the tool you need with AW Advanced Visualization.
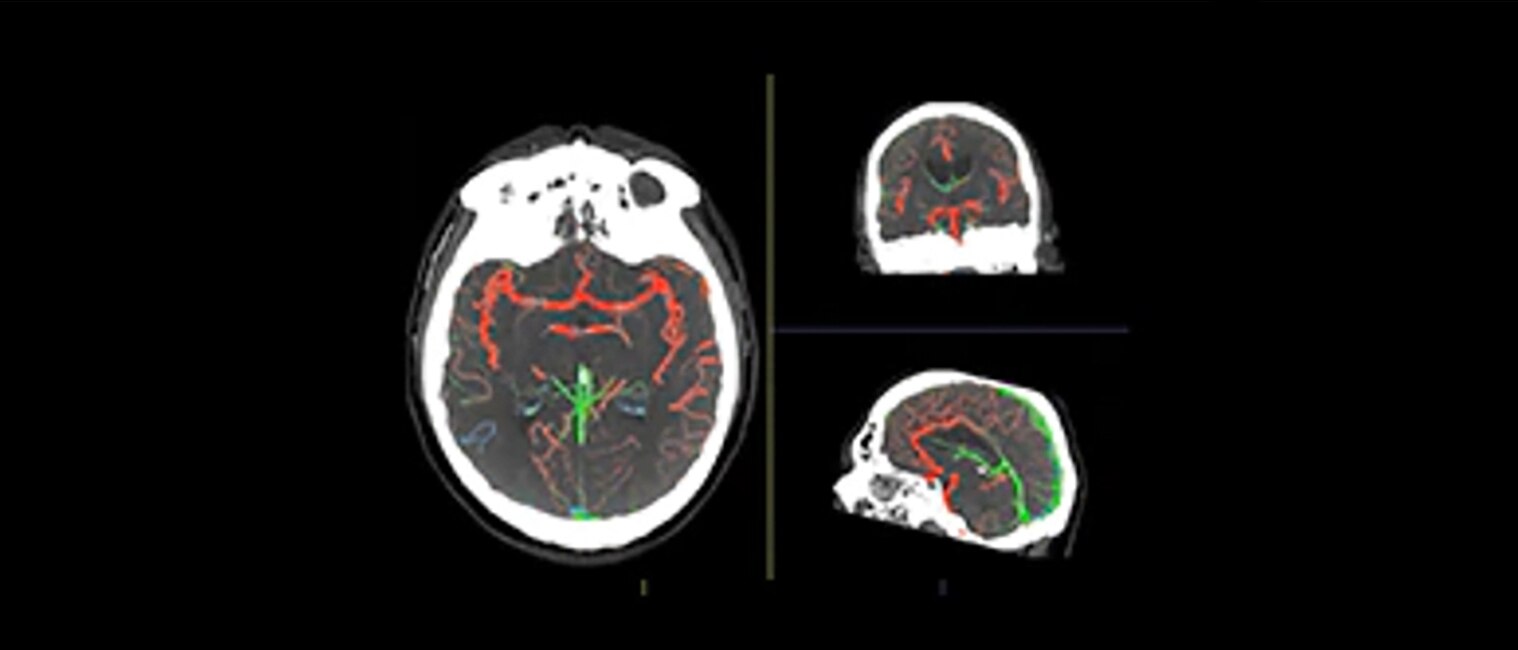
ai
Greater intelligence for a new generation of radiology
As radiology continues to become more integrated with the rest of your healthcare system, speed and efficiency are even more important. We’re using the Edison™ Ecosystem to bring precision to every aspect of the radiology workflow. AW Advanced Visualization currently has four AI-based applications available with many more in development.
3d model printing
Add another dimension to surgical training
Innovative applications like 3D model printing are connecting radiology with other areas of your healthcare system in unprecedented
ways. With a simple one-click export, surgeons can use AW Advanced Visualization to create realistic 3D printed anatomical models.
It’s amazing what you can learn from the same information presented in a new way. In this case, experienced surgeons can create a
tangible object to help them think through a complex surgery and new surgeons have a risk-free resource to practice their skills.
There’s an advanced view for everyone
Interpreting images is just a fraction of the work you do every day. You are the visual problem solvers for your entire healthcare
system. To do this, you have to have a breadth of visualization tools at your fingertips to help answer a wide range of clinical
questions. AW Advanced Visualization has over 60 different applications, covering more modalities across more care areas and
sub-specialties than any other advanced imaging solution. It truly has a tool to visualize every clinical challenge.
Advanced visualization. Simplified anatomy.
All of our applications have the advantage of being developed with a deep knowledge of the imaging technology itself. This
gives us the detail needed to develop applications that are both clinically impactful and easy to use. AW Advanced Visualization
applications give you accurate segmentation as well as measurements across a wide range of modalities and care areas. It also
features an intuitive user interface with guided workflows designed for a wide range of expertise.
Beyond radiology
The future of radiology is more connected to the rest of your healthcare system and more accessible. It requires imaging IT that
can easily be adapted to the unique operational and infrastructure challenges of a wide range of clinical environments.
The AW Advanced Visualization platform is completely modular. You can install a single workstation with multi-modality
functionality or expand your access with PACS integration in our enterprise-wide solution.
It is completely flexible to the needs of your healthcare system.
Additional resources
1. 3D model printing is for training and education only
JB01123AU
(function ($doc, $win) {
var dom;
var currentPageSection = '';
setupDefaults();
addListeners();
function setupDefaults() {
if (!$win.digitalData) $win.digitalData = {}
dom = {
clickType: '.ge-track[data-tracking-type="click_event"]',
altClickType: '.ge-track[data-tracking-type="ClickEvent"]',
imageType: '.ge-track[data-tracking-type="Image"]',
searchType: '.ge-track[data-tracking-type="advance_filter"]',
formType: '.ge-track.ge-form[data-tracking-type]',
pageSection: '.ge-track[data-tracking-type="pageSection"]',
};
currentPageSection = '';
}
function addListeners() {
$doc.addEventListener('click', handleClickType);
$doc.addEventListener('click', handleImageType);
$doc.addEventListener('click', handleSearchType);
(function(send) {
XMLHttpRequest.prototype.send = function(data) {
send.apply(this, arguments);
try{
if(data){
var ajaxSend = JSON.parse(data);
if(ajaxSend.terms){
handleFormType();
}
}
} catch(e){
console.warn('Could not track form submission type.')
}
}
}
)(XMLHttpRequest.prototype.send);
(function(open) {
XMLHttpRequest.prototype.open = function(data) {
open.apply(this, arguments);
try{
if( arguments.length > 2 ){
var data = arguments[1];
if(data.indexOf("term=") > 0){
handleSiteSearchType();
}
}
} catch(e){
console.warn('Could not track form submission type.')
}
}
}
)(XMLHttpRequest.prototype.open);
if (document.querySelectorAll(dom.pageSection).length) {
$win.addEventListener('scroll', debounce(function () {
handleSectionEntry();
}, 250));
}
}
function track(type) {
if ($win._satellite) {
$win._satellite.track(type);
} else {
console.warn('Satellite tracking is not available.')
}
}
function handleClickType(e) {
var target = e.target;
if (target && (target.matches(dom.clickType) || target.matches(dom.altClickType))) {
digitalData.click = target.getAttribute('data-tracking-title');
track('click_event');
}
}
function handleImageType(e) {
var target = e.target;
if (target && (target.matches(dom.searchType) || target.matches(dom.searchType))) {
digitalData.page.category.Image = target.getAttribute('data-tracking-title');
track('image');
}
}
function handleSearchType(e) {
const target = e.target;
if (target && target.matches(dom.searchType)) {
setTimeout(function () {
digitalData.Search = target.getAttribute('data-tracking-title');
track('advance_filter');
}, 250);
}
}
function handleSectionEntry() {
const pageTop = $win.scrollY || $doc.documentElement.scrollTop;
const pageBottom = pageTop + $win.innerHeight;
$doc.querySelectorAll(dom.pageSection).forEach(function (el, i) {
const top = el.getBoundingClientRect().top + $doc.body.scrollTop;
const bottom = top + outerHeight(el);
const title = el.getAttribute('data-tracking-title');
if ((top > pageTop && top < pageBottom) ||
(bottom < pageBottom && bottom > pageTop) ||
(top < pageTop && bottom > pageBottom) &&
title !== currentPageSection) {
currentPageSection = title;
digitalData.page.category.pageSection = currentPageSection;
track('pageSection');
}
});
}
function handleFormType() {
const forms = $doc.querySelectorAll(dom.formType);
if (forms.length > 0 && forms[0].getAttribute('data-tracking-title')) {
digitalData.Search = forms[0].getAttribute('data-tracking-title');
track('registered');
}
}
function handleSiteSearchType() {
var title = getQueryVariable('term') + " | " + (getQueryVariable('filter') ? getQueryVariable('filter') : 'Product'); digitalData.Search = title;
track('search');
}
function getQueryVariable(variable) {
var query = window.location.search.substring(1);
var vars = query.split('&');
for (var i = 0; i < vars.length; i++) {
var pair = vars[i].split('=');
if (decodeURIComponent(pair[0]) == variable) {
return decodeURIComponent(pair[1]);
}
}
return null;
}
function outerHeight(el) {
var height = el.offsetHeight;
var style = getComputedStyle(el);
height += parseInt(style.marginTop) + parseInt(style.marginBottom);
return height;
}
function debounce(func, wait, options) {
var lastArgs,
lastThis,
maxWait,
result,
timerId,
lastCallTime,
lastInvokeTime = 0,
leading = false,
maxing = false,
trailing = true;
if (typeof func != 'function') {
throw new TypeError(FUNC_ERROR_TEXT);
}
wait = toNumber(wait) || 0;
if (isObject(options)) {
leading = !!options.leading;
maxing = 'maxWait' in options;
maxWait = maxing ? nativeMax(toNumber(options.maxWait) || 0, wait) : maxWait;
trailing = 'trailing' in options ? !!options.trailing : trailing;
}
function invokeFunc(time) {
var args = lastArgs,
thisArg = lastThis;
lastArgs = lastThis = undefined;
lastInvokeTime = time;
result = func.apply(thisArg, args);
return result;
}
function leadingEdge(time) {
lastInvokeTime = time;
timerId = setTimeout(timerExpired, wait);
return leading ? invokeFunc(time) : result;
}
function remainingWait(time) {
var timeSinceLastCall = time - lastCallTime,
timeSinceLastInvoke = time - lastInvokeTime,
timeWaiting = wait - timeSinceLastCall;
return maxing
? nativeMin(timeWaiting, maxWait - timeSinceLastInvoke)
: timeWaiting;
}
function shouldInvoke(time) {
var timeSinceLastCall = time - lastCallTime,
timeSinceLastInvoke = time - lastInvokeTime;
return (lastCallTime === undefined || (timeSinceLastCall >= wait) ||
(timeSinceLastCall < 0) || (maxing && timeSinceLastInvoke >= maxWait));
}
function timerExpired() {
var time = now();
if (shouldInvoke(time)) {
return trailingEdge(time);
}
timerId = setTimeout(timerExpired, remainingWait(time));
}
function trailingEdge(time) {
timerId = undefined;
if (trailing && lastArgs) {
return invokeFunc(time);
}
lastArgs = lastThis = undefined;
return result;
}
function cancel() {
if (timerId !== undefined) {
clearTimeout(timerId);
}
lastInvokeTime = 0;
lastArgs = lastCallTime = lastThis = timerId = undefined;
}
function flush() {
return timerId === undefined ? result : trailingEdge(now());
}
function debounced() {
var time = now(),
isInvoking = shouldInvoke(time);
lastArgs = arguments;
lastThis = this;
lastCallTime = time;
if (isInvoking) {
if (timerId === undefined) {
return leadingEdge(lastCallTime);
}
if (maxing) {
timerId = setTimeout(timerExpired, wait);
return invokeFunc(lastCallTime);
}
}
if (timerId === undefined) {
timerId = setTimeout(timerExpired, wait);
}
return result;
}
debounced.cancel = cancel;
debounced.flush = flush;
return debounced;
}
})(document, window)