STROKE SOLUTIONS

Timely, innovative solutions for your Stroke program.

While rapid stroke detection can save a life or minimize stroke-related disabilities, managing risk factors can prevent 80% of strokes.1 Detection tools can help patient avoid TIA or stroke.

 

SEER™ 1000 Holter Monitor
The SEER 1000 is a long-term digital recorder that lets you stay connected to your patient for up to 72 hours.

CardioDay v2.5 Software Analysis
Powerful combination of clinical quality and workflow advantages. CardioDay Holter ECG delivers a powerful combination of clinical quality and workflow advantages you won't find elsewhere.

Ambulatory ECG
GE Healthcare delivers a unique combination of Ambulatory ECG Monitoring solutions to help improve quality of care, while saving cost in both clinical performance and hospital operations.

Rapid transport and triage with pre-notification and transfer of vitals to an interventional facility give patients the best chance of a full recovery.2 Monitoring systems during critical moments can save time and improve outcomes.

 

CARESCAPE™ Monitoring Solutions
Monitor portfolio that scales to meet changing patient acuity and care area needs. GE Healthcare offers a comprehensive line of patient monitors for virtually every care setting with smart features that are in step with your needs - clinical accuracy, streamlined workflow, improved patient care, and cost efficient.

ApexPro CH/FX Telemetry
Offers the highly flexible and advanced telemetry system to meet the current and future telemetry needs of growing hospitals.

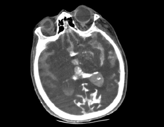
A patient with suspected TIA or stroke will typically receive a general and neurological examination followed by diagnostic brain imaging, performed immediately on arrival so that treatment can be started promptly.3 Optimal scanning coupled with workflow applications and protocols designed for stroke help deliver accurate and quick diagnosis to impact patient outcomes.

 

Revolution brand of CT systems
Capable of acquiring neuro perfusion and CTA of the brain in a single exam to enable comprehensive functional and anatomical assessment.

FastStroke CT Application
Simplifies and organizes CT images for fast evaluation of Stroke patients.

Fast Brain protocol with HyperWorks
Providing structural as well as vascular information with improved resolution and precise characterization in 5 minutes.

Acute ischemic stroke is a complex disease and successful endovascular treatment is based on the comprehensive ability to rapidly integrate multiple pieces of information.4 Intravenous thrombolysis (IV-tPA) in the case of ischemic stroke and mechanical thrombectomy for of large vessel stroke are some treatment options. Fast interventions with accurate imaging can help reach lesions quickly to help improve patient outcomes.

 

Innova™ IGS 6
Fast interventions to help detect of hemorrhages in room. Innova™ IGS 6 is a biplane image-guided system for Neurointerventional procedures.

3DCT HD
Helps quickly detect intracranial hemorrhages in the interventional suite. Next-generation 3D imaging.

The goal is to prevent recurrent stoke or TIA by identifying risk factors like Afib, individualized rehabilitation and deciphering the most likely stroke mechanism.

 

SIGNA™ Premier MR with 48 ch coil, Hyperband and eDWI
Speedy evaluation of treatment response and recovery with uncompromised quality.

LOGIQ Ultrasound
Designed for rapid assessment, ease of use and patient comfort. Exceptional images. Expert tools. Versatile designs.

Ambulatory ECG
GE Healthcare delivers a unique combination of Ambulatory ECG Monitoring solutions to help improve quality of care, while saving cost in both clinical performance and hospital operations.

Supporting Materials

  1. ESO. (2017). Stroke, ESO and The Economist. Available at: https://eso-stroke.org/kategorie-2/stroke-eso-economist/.
  2. Stabilization Protocols) for the American Stroke Association 2016; E.C. Jauch et al.
  3. Guidelines for Management of Ischaemic Stroke and Transient Ischaemic Attack 2008” The European Stroke Organisation (ESO) Executive Committee and ESO Writing Committee 2008; W. Hacke.
  4. Endovascular Ischemic Stroke Intervention: An International multi-society consensus document” American Academy of Neurological Surgeons/ Congress of Neurological Surgeons (AANS/CNS) 2016; S.D. Lavine et al.